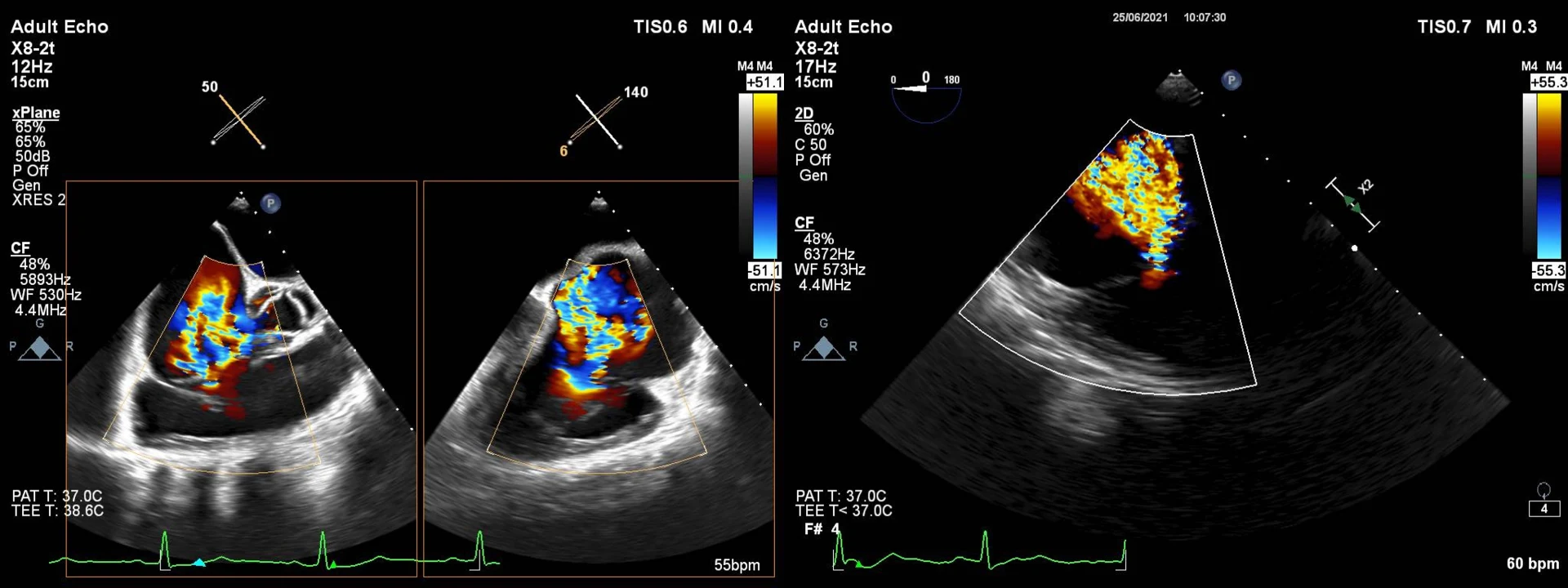
Διαδερμική αντιμετώπιση ανεπάρκειας τριγλώχινας βαλβίδας.
Επέμβαση TRICLIP (Abbott Structural Heart) επιδιόρθωσης τριγλώχινας βαλβίδας.
Επέμβαση διακαθετηριακής εμφύτευσης βαλβίδας EVOQUE (Tricuspid Valve Replacement System, Edwards)
Τι είναι η ανεπάρκεια της τριγλώχινας βαλβίδας;
Η ανεπάρκεια της τριγλώχινας βαλβίδας είναι μια καρδιακή πάθηση κατά την οποία η τριγλώχινα βαλβίδα, που βρίσκεται ανάμεσα στον δεξιό κόλπο και τη δεξιά κοιλία της καρδιάς, δεν κλείνει σωστά. Αυτό έχει ως αποτέλεσμα μία ποσότητα αίματος να παλινδρομεί από τη δεξιά κοιλία στον δεξιό κόλπο όταν η κοιλία συστέλλεται, αντί να προωθείται προς τους πνεύμονες για οξυγόνωση.

